We offer free for your first try case for us.

ALL-CERAMICS - Bright Dental Lab

All Ceramic

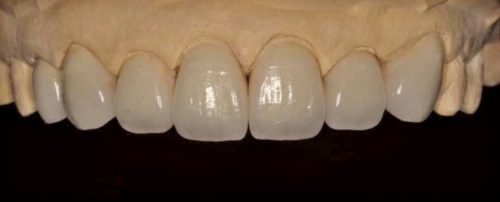
All-ceramic restoration

All-ceramic restoration use has increased in recent years. This increase has been attributed to patients’ demand for good aesthetics and an improvement in the materials’ mechanical and aesthetic properties as well as to required minimally invasive tooth preparation and the methods of fabrication. The success of ceramic restorations depends on several factors, such as selection of material, restoration design, occlusion, and cementation media.

Awesome Image

Veneer DSD Smile Design

All Ceramic

E-Max

Digital Ceramics

Call us at +86-136-1309-6118
or Email [email protected]